美しい口元と健康的な身体になる
美しい歯並びは、見た目の印象を良くするだけでなく、お口と身体の健康にも大きく関わっています。歯並びが整うことで、人前でも口元を気にせず本気で笑えるようになる方も多くいらっしゃいます。 実際に、当院の院長自身もマウスピース矯正を経験し、歯並びが整うことで自然に笑えるようになったことを実感しています。また、歯並びが乱れていると歯みがきがしにくくなり、むし歯や歯周病のリスクが高まりやすくなります。 さらに、咀嚼効率が低下して胃腸に負担がかかるなど、お口だけでなく全身の健康に影響することもあります。そのため当院では、見た目の美しさだけでなく、お口全体の健康を考えた矯正治療を大切にしています。 西新井の歯医者「西新井おとなこども歯科・矯正歯科」では、お子さまの矯正(小児矯正)から大人のマウスピース矯正まで、患者さま一人ひとりに合わせた矯正治療をご提案しています。
このような悩みはありませんか?

-
笑ったとき、
歯並びがガタガタで
恥ずかしい… -
歯並びが気になって
口を開けたり
笑顔になれない… -
噛み合わせが
悪いのが悩み -
矯正治療は
金属のワイヤーが
目立つので嫌だ…
透明で目立たない
マウスピース型矯正装置
(インビザライン)
当院は、マウスピース型矯正装置(インビザライン)に対応している歯医者です。マウスピースは透明な素材なので、治療中も目立ちません。また、治療前と治療後のイメージを確認することもできるので、患者さまと確認しながら矯正治療を進められます。
マウスピース矯正治療
(インビザライン)の特長
|
世界シェアNo.1 安心と信頼のマウスピース
|
透明で目立たない
|
|---|---|
| マウスピース型矯正装置(インビザライン)は累計1,300万人を超える方が実践している、世界シェアNo.1の矯正治療です。症例数が多いため、これまで蓄積されたデータを基に、歯がどのよう動くかをシミュレーションにより確認できます。適応症例が幅広いのも特長です。 | 治療に用いるマウスピースは透明なつくりなので、目立ちません。治療中も他の人に気づかれにくいメリットがあります。また、歯をゆっくり動かすため、痛みが感じにくい傾向にあります。薄いつくりで装着時の違和感が少ないのも特長です。 |
|
世界シェアNo.1 安心と信頼のマウスピース
|
マウスピース型矯正装置(インビザライン)は累計1,300万人を超える方が実践している、世界シェアNo.1の矯正治療です。症例数が多いため、これまで蓄積されたデータを基に、歯がどのよう動くかをシミュレーションにより確認できます。適応症例が幅広いのも特長です。 |
透明で目立たない
|
治療に用いるマウスピースは透明なつくりなので、目立ちません。治療中も他の人に気づかれにくいメリットがあります。また、歯をゆっくり動かすため、痛みが感じにくい傾向にあります。薄いつくりで装着時の違和感が少ないのも特長です。 |
|
マウスピースの着脱が 自在にできる
|
通院回数が少ない
|
|---|---|
| マウスピースはいつでも自由に着脱できます。お食事やブラッシング時に、ご自身で自在に取り外していただけます。そのため、食べかすが残りにくく、お口の中を清潔に保ちやすく、虫歯になりにくいのが特長です。 | マウスピースは治療計画に合わせて、数回に分けてまとめてお渡しします。歯の動きは事前にコンピューターで細かくシミュレーションされており、その計画に沿ってマウスピースを順番に交換することで歯が少しずつ動いていきます。 マウスピースはご自身で1週間ごとに新しいものへ交換していただきます。 ワイヤー矯正と異なり、ワイヤーが当たって痛みが出たり、ワイヤーが外れるといったトラブルがほとんどありません。そのため、比較的少ない通院回数で矯正治療を進めることができます。 お仕事や学校で忙しい方でも、マウスピース型矯正装置(インビザライン)であれば無理なく矯正治療を続けることができます。 |
|
マウスピースの着脱が 自在にできる
|
マウスピースはいつでも自由に着脱できます。お食事やブラッシング時に、ご自身で自在に取り外していただけます。そのため、食べかすが残りにくく、お口の中を清潔に保ちやすく、虫歯になりにくいのが特長です。 |
通院回数が少ない
|
マウスピースは治療計画に合わせて、数回に分けてまとめてお渡しします。歯の動きは事前にコンピューターで細かくシミュレーションされており、その計画に沿ってマウスピースを順番に交換することで歯が少しずつ動いていきます。 マウスピースはご自身で1週間ごとに新しいものへ交換していただきます。 ワイヤー矯正と異なり、ワイヤーが当たって痛みが出たり、ワイヤーが外れるといったトラブルがほとんどありません。そのため、比較的少ない通院回数で矯正治療を進めることができます。 お仕事や学校で忙しい方でも、マウスピース型矯正装置(インビザライン)であれば無理なく矯正治療を続けることができます。 |
iTeroによるスキャンで
検査と型採りも短時間で済む
マウスピース型矯正装置(インビザライン)では、iTeroを用いた口腔内スキャンにより、検査と歯型採りを行います。短時間の光学スキャンなので、歯科用の粘土を使った型採りのように不快感がなく、嘔吐反射もほとんどおきません。
pick up
初回カウンセリングで
歯の動きをチェック

マウスピース矯正ってどんな風に治療するの?
矯正治療に興味があるけど本当に良くなるのか不安・・・
など、長い年月をかけて行う矯正治療に対し、さまざまな不安があるかと思います。当院では、初回のカウンセリング時に、iTeroで患者さまのお口の中をスキャンし、簡単な治療のシミュレーションをご案内します。治療の始まりから終了を、目で確認することが可能です。実際に治療をすることが決まったら、精密な検査は後日行います。まずは、お気軽にご相談ください。
抜歯が必要なケースにも対応できる
マウスピース矯正
一般的に、マウスピース矯正は「抜歯が必要なケースには不向き」と言われることがあります。しかし、適切な診断と治療計画、そして経験に基づくコントロールを行うことで、抜歯を伴うケースであっても、機能性・審美性の両立した治療結果を目指すことが可能です。
当院では、外科的視点と矯正治療の両方を理解した歯科医師が治療を行うことで、患者さん一人ひとりにとって無理のない、納得できる矯正治療をご提案しています。
患者さまに合った治療方法をご提案
| インビザライン・フル | インビザライン・ライト | |
|---|---|---|
| 対象:ほとんどの歯に対応可能 | 対象:前5番目の歯(=第二小臼歯)まで | |
| マウスピース:万が一途中で歯型が合わなくなった場合も、つくり直しできます。 | マウスピース:14枚までに限られます。 | |
| インビザライン・フル | 対象:ほとんどの歯に対応可能 | マウスピース:マウスピース枚数:万が一途中で歯型が合わなくなった場合も、つくり直しできます。 |
| インビザライン・ライト | 対象:前5番目の歯(=第二小臼歯)まで | マウスピース:14枚までに限られます。 |
当院の矯正治療症例
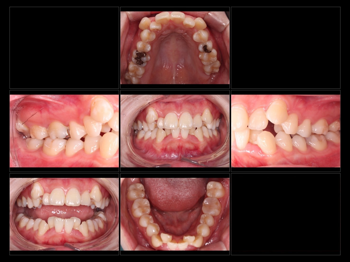
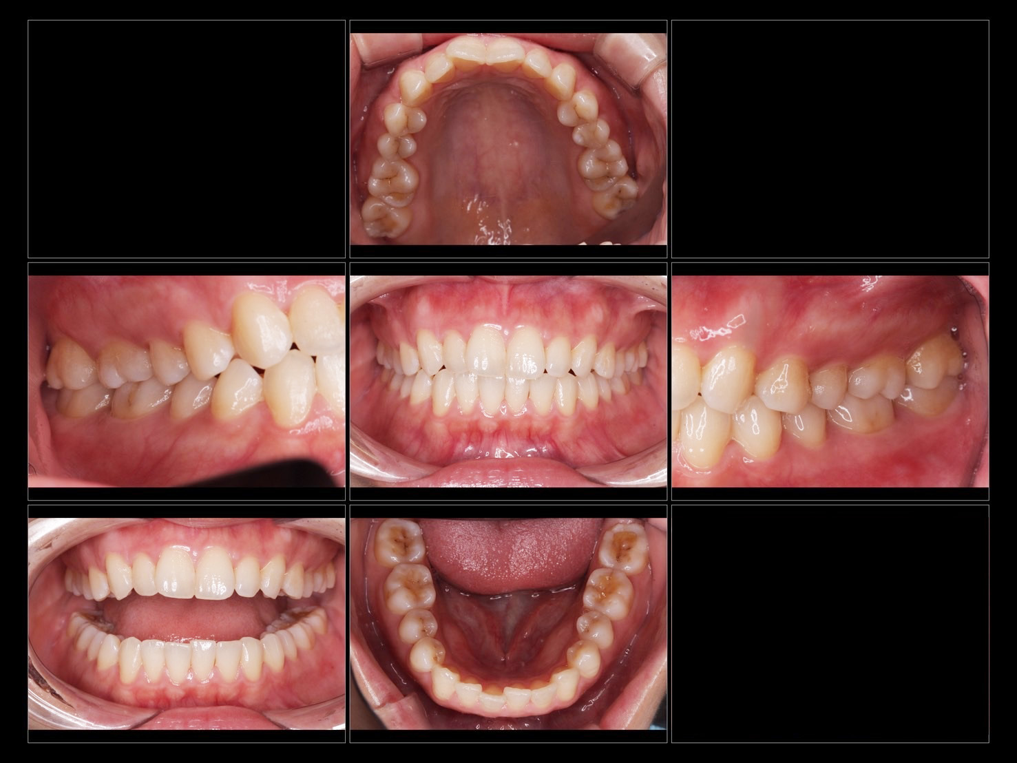
症例①
BEFORE
|
AFTER
|
|---|---|
BEFORE
|
AFTER
|
| 主訴 | 上下の歯のカタツキ |
| 患者 | 20代女性 |
| 治療期間 | 11ヶ月 |
| 抜歯 | 右上8左上下8抜歯 上44抜歯 |
| 治療費 | 110万円(税込) |
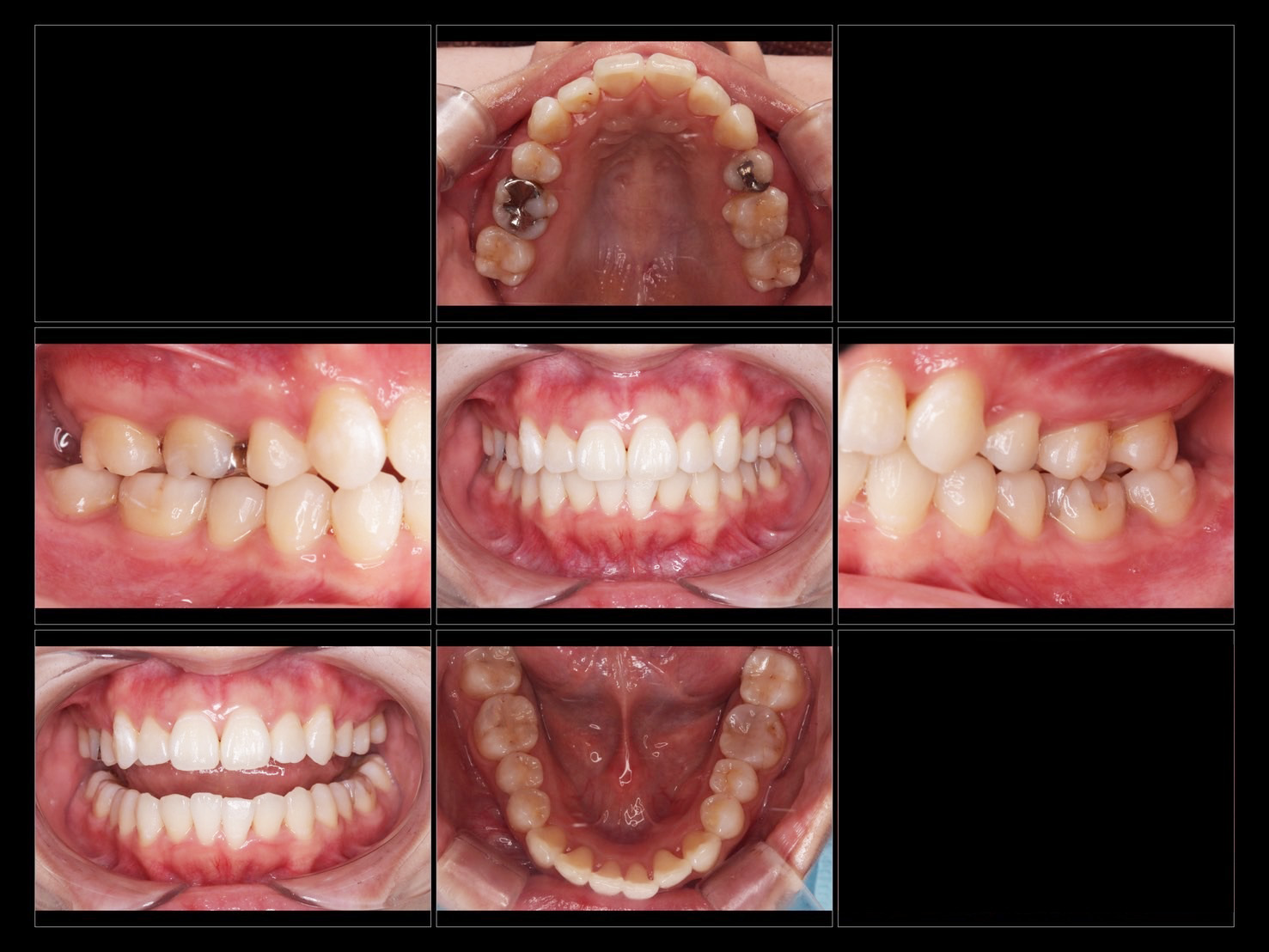
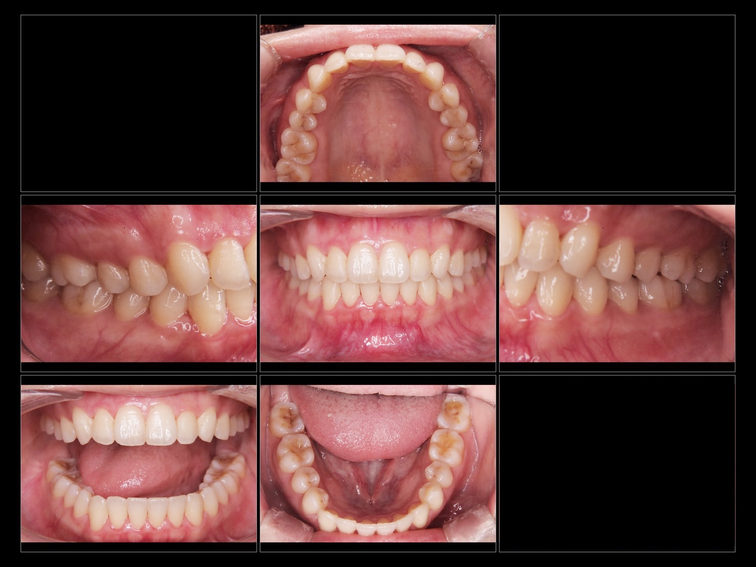
症例②
BEFORE
|
AFTER
|
|---|---|
BEFORE
|
AFTER
|
| 主訴 | 上下の歯のカタツキ |
| 患者 | 30代女性 |
| 治療期間 | 12ヶ月 |
| 抜歯 | 右上2左下2抜歯 |
| 治療費 | 110万円(税込) |
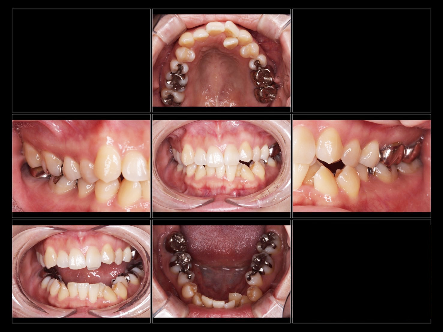
症例③
BEFORE
|
AFTER
|
|---|---|
BEFORE
|
AFTER
|
| 主訴 | 下の前歯のカタツキ |
| 患者 | 30代女性 |
| 治療期間 | 5ヶ月 |
| 治療費 | 55万円(税込) |
当院の矯正治療の特徴
矯正治療は、虫歯や歯周病などお口の状態を整えたうえで進めていく治療です。そのため、当院では基本的に、これらの治療が完了してから矯正治療を開始します。また、矯正治療は数年単位に及ぶことも多く、治療期間中に新たな虫歯や歯周病の治療が必要になったり、矯正に伴う抜歯などの外科的処置が必要になる場合もあります。
矯正治療のみを行う歯科医院では、こうした処置を院内で対応できず、一般歯科治療や矯正に伴う抜歯などの外科処置のために別の歯科医院を紹介され、複数の医院へ通院しなければならないケースも少なくありません。
また、外部の矯正担当医が来院する特定の曜日にしか矯正治療を受けられない体制の医院もあります。
当院では、院長が矯正治療をはじめ、一般歯科治療から抜歯・外科処置までを一貫して担当しております。そのため、治療内容ごとに医院を変える必要がなく、診療日や担当医に左右されることなく、すべての治療を一つの医院で完結できる体制を整えています。
矯正治療は
歯並びを美くしくするだけではない
矯正治療で実現できるのは、見た目の美しさだけではありません。矯正治療の役割とは歯並びを整えることで、歯の機能を最大限に引き出し、口元を健康的な美しさに導くことです。もし歯並びが悪いまま放置してしまうと、隅々まできれいに磨けずにプラークが溜まり、虫歯や歯周病にかかりやすくなります。また、噛み合わせが崩れてあごや顔の形が変形したり、食べ物がよく噛めず、胃腸に負担をかけて体調を崩したりすることもあります。このように、矯正治療にはお口と身体全体の健康と自然な美しさを実現する役割があります。
矯正治療の流れ
step 01 検査・診断
歯科用CTを用いて入念に検査を行い、患者さまと噛み合わせの状態を共有します。検査により虫歯が見つかった場合は、矯正治療の前に虫歯治療を行います。虫歯があると、矯正治療に大きな影響が出てしまうためです。
step
02
治療内容の説明と
患者さまの同意

矯正治療は時間がかかるため、事前に治療内容や治療完了までの目安、注意事項などを丁寧に説明します。患者さまが行う治療について理解され、治療方針に納得されましたら、矯正治療を開始します。
step 03 矯正治療開始
入念に歯のクリーニングを行って、お口に合ったマウスピースやワイヤー矯正装置を製作します。製作完了後、装着して治療を開始します。
step
04
定期メインテナンスと
治療後の保定

1~3ヶ月に1回を目安にご来院いただき、噛み合わせや歯の動きのチェックとクリーニングを行います。ワイヤー矯正の場合は、調整や交換も行います。矯正治療終了後は後戻りを防ぐために、リテーナーを装着します。
上記はあくまでも目安で、実際には患者さまの生活習慣や歯並びの状態によって、最適な方法をご提案します。
ワイヤーの矯正治療もご提案
患者さまの歯並びやお口の状態を診て、患者さまが希望されれば、ワイヤー矯正装置もご案内可能です。ワイヤー矯正装置は、すべての症例に対応できます。また、マウスピース矯正よりも歯を大きく早く動かせるため、治療終了までの期間が短い傾向にあります。
お子さまの矯正治療は
早いうちがおすすめ
当院では、お子さまの矯正治療も行っています。乳歯のころから歯並びを意識することで、あごの健やかな成長を促すことができます。お子さまの成長具合や年齢に合わせて進めていくので、ぜひご相談ください。
お支払い方法・
医療費控除について
当院では、患者さんのご都合に合わせて以下の3つのお支払い方法をご用意しています。
- 現金
- クレジットカード
- デンタルクレジット
これらは、組み合わせてお支払いいただくことも可能です。
(例:一部を現金、残りをクレジットカード・デンタルクレジット など)
デンタルクレジットについて
デンタルクレジットは、エポスカードが提供する歯科治療専用の分割払いサービスです。一般的なクレジットカードの分割払いと比べて、手数料を抑えてお支払いいただける点が特長です。
- 月々のご負担を抑えたい方
- 矯正治療など、治療費がまとまって必要な方
に多くご利用いただいており、20代・30代の方を中心に選ばれています。
お支払い方法や分割回数については、治療開始前に丁寧にご説明いたしますので、どうぞお気軽にご相談ください。
医療費控除で治療費を抑える
マウスピース矯正を始めとした矯正治療は保険適用外のため、治療費が高額になりがちです。しかし、医療費控除を活用すれば、治療費を抑えられるかもしれません。医療費控除とは、年間の医療費が規定の金額を超えた際に、所得控除を受けられる制度です。お子さまの矯正治療は基本的に医療費控除の対象となり、大人の場合は機能回復のためであれば医療費控除の対象とみなされます。











